患者牙齒疼痛許久卻找不出原因,來到診所作詳細檢查後,才發現臼齒的牙齒鄰接面上有一道深深的...
舊型的活動假牙因為過度摩擦而使病患疼痛。
在患者的牙床中放入四根迷你植體來固定。
左上缺一顆牙,要急忙出國 。
下面多顆缺牙,但身體因素不便做植牙。
36歲鄭先生主訴為左上牙橋區反覆膿腫長達一年,X光片可見#21根尖處有一約...
42歲王小姐因左上犬齒及第一小臼齒牙根外露不美觀而求診,經診斷為米勒氏第一至第二級的牙齦萎縮(Mill...
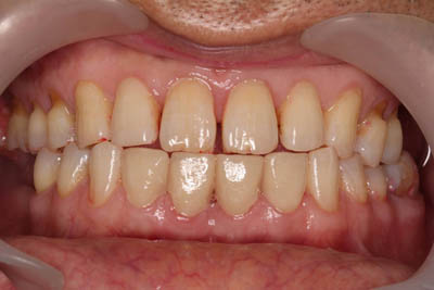
劉小姐原來支撐活動假牙的牙齒,長期飽受蛀牙疼痛、活動假牙不穩定的痛苦,無法輕鬆進食。經轉介來新城牙醫診...
許小姐右側下顎第一大臼齒缺牙,失去咬合重心,影響咀嚼效力(進...
魏小姐左側上顎微創植牙,做為舊型覆蓋式全口假牙的固位以及支撐。亦即,使用植牙技術來強化過去舊式假牙的穩...