門診時刻表
線上諮詢
新城牙醫 Facebook
top
回首頁
聯絡我們
網站導覽
新城牙醫診所-新北市植牙
關於新城
植牙中心
專業的服務
民眾專區
最新消息
患者實例
人工植牙
雷射牙科
全口重建
牙齒保健
牙周病
假牙贗復
前牙美學
兒童牙科
首頁
專業的服務
雷射牙科
全部顯示
人工植牙
雷射牙科
全口重建
牙齒保健
牙周病
假牙贗復
前牙美學
兒童牙科
日期範圍
至
止
關鍵字
search
雷射牙科
資料共有
4
筆,每頁顯示
10
筆,目前在第
1
頁,共有
1
頁 。
01
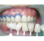
牙齦雷射美白
.發佈日期:2014/04/11 .類別:雷射牙科 .點閱數:2013
02
牙齒雷射美白
.發佈日期:2014/04/11 .類別:雷射牙科 .點閱數:3019
03
傳統手術與雷射治療之比較
.發佈日期:2014/04/11 .類別:雷射牙科 .點閱數:2167
04
雷射治療服務
.發佈日期:2014/04/11 .類別:雷射牙科 .點閱數:2012
1
診所電話:02-2277-8921
診所地址:新北市新莊區中華路一段 71 號 (新莊捷運站 1 號出口步行約 5 分鐘)
新城牙醫 Facebook
Hits:
回首頁
關於新城
植牙中心
專業的服務
患者實例
民眾專區
最新消息
網站導覽